Cytologia jako szybkie i mało inwazyjne narzędzie diagnostyczne
Wiele guzków skórnych u zwierząt można wstępnie zdiagnozować bez znieczulenia, skalpela i stresu – tylko za pomocą badania cytologicznego.
Dobrym przykładem może być rozrost okrągłokomórkowy o charakterze histiocytomy skórnej. Histocytomy skórne są łagodnymi rozrostami nowotworowymi wywodzącymi się z histiocytów naskórka (komórek dendrytycznych) i są najczęstszymi nowotworami skóry u młodych psów. Występują w formie bezwłosych, dobrze odgraniczonych, okrągłych guzków, często czerwonych lub z owrzodzeniem.
Lokalizują się najczęściej w okolicy głowy i kończyn. Często ulegają regresji w ciągu kilku miesięcy i tylko w niektórych przypadkach konieczne jest usunięcie chirurgiczne.
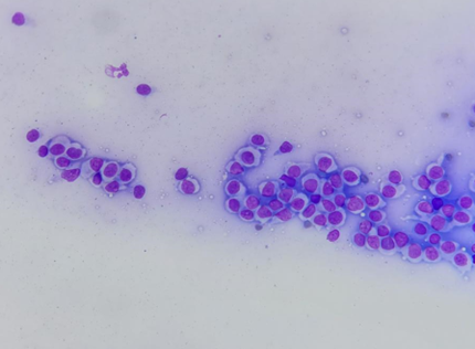
Obraz cytologiczny histiocytomy skórnej
Cytologicznie w przypadkach histiocytomy skórnej widzimy:
- komórki okrągłe z okrągłymi, owalnymi lub lekko wciętymi jądrami komórkowymi
- cytoplazma jasna, średnioobfita, niekiedy z wypustkami lub jaśniejsza od bazofilnego tła
- brak cech nasilonej atypii
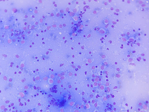
Dodatkowo, jeśli w preparacie widoczne są liczne limfocyty jesteśmy w stanie zasugerować w wyniku histiocytomę skórną w fazie regresji.
Dlaczego cytologia jest wyjątkowo przydatna w przypadku histiocytomy skórnej?
- Młody wiek pacjenta + lokalizacja + szybki wzrost = typowy obraz kliniczny – cytologia potwierdza to, co podejrzewamy klinicznie
- Pomaga uniknąć niepotrzebnej chirurgii
- Monitoring regresji
Kategorie wpisów
- Alergologia (3)
- Cytologia (5)
- Hipiatria (4)
- Histopatologia (1)
- Immunologia (1)
- Mikrobiologia (2)
- Parazytologia (2)



